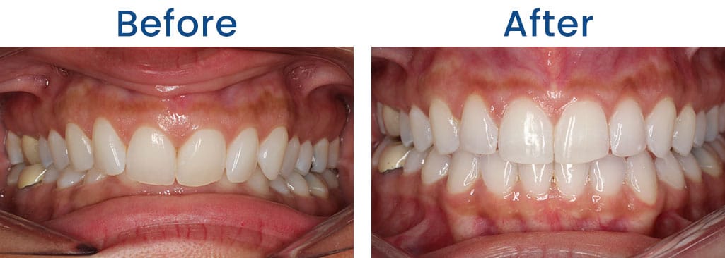
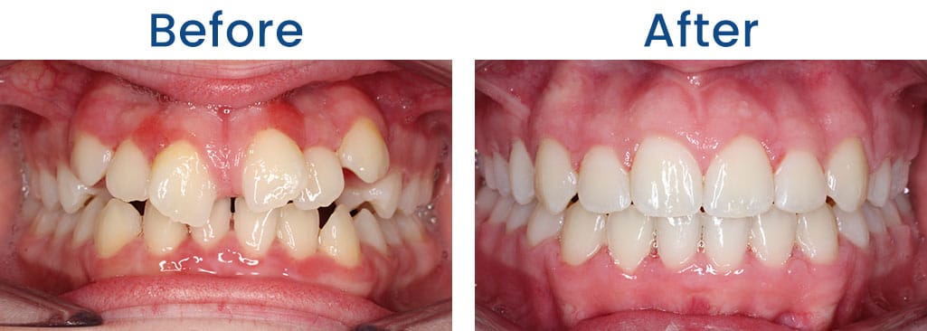
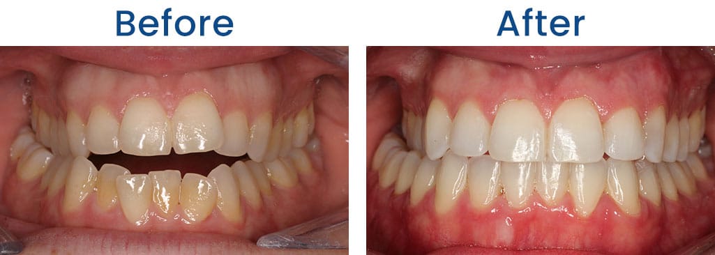
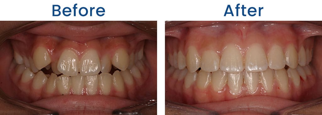
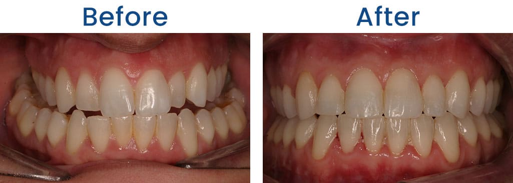
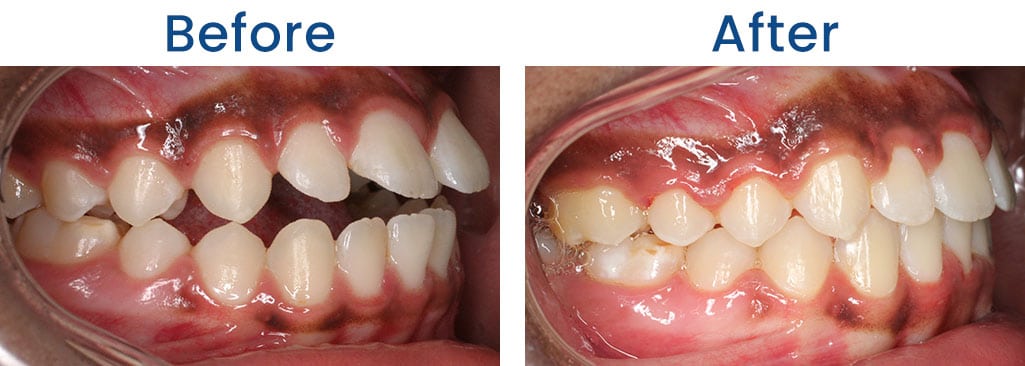
Great Neck Orthodontists Dr. Doug Palaganas and Dr. Janine Ellis have experience treating many types of smiles using the latest technologies available. Whether you or your child are experiencing crowding, extra spaces, an overbite or underbite, Dr. Doug, Dr. Ellis, and their team can help you create the smile of your dreams using traditional braces or clear aligners. Below are some of our fantastic transformations. Contact us today and let us customize a treatment plan for your smile!









